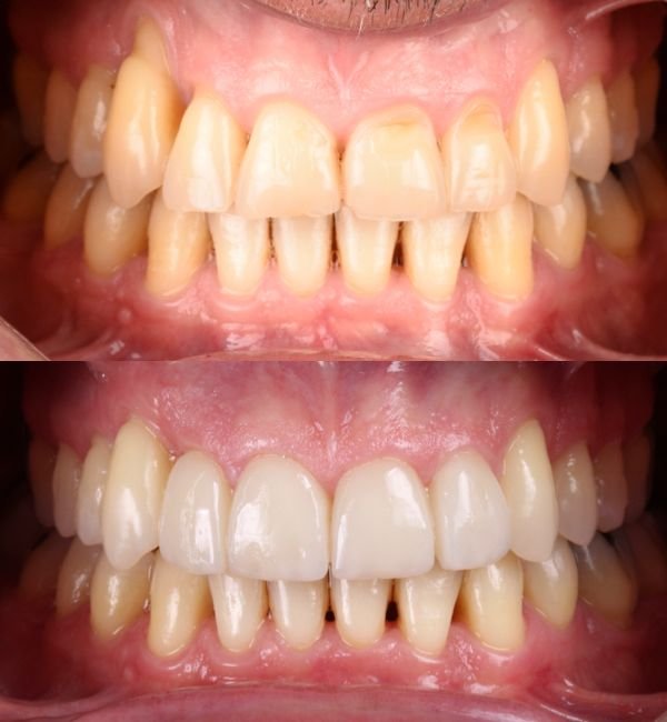
Tratamientos Blanquiamiento
Blanqueamiento
Tratamiento que permite aclarar el color de los dientes. Es un procedimiento simple y no invasivo que permite hacer la sonrisa más blanca sin comprometer el esmalte dental.
¿El banquiamiento dental estropea los dientes?
El blanqueamiento dental realizado con la indicación de su médico dentista o higienista bucal no estropea los dientes.
¿Los dientes se vulven más sensibles con el blanquiamiento?
Durante el blanqueamiento dental, los dientes pueden volverse más sensibles, pero esta sensibilidad pasa cuando termina de blanquear.
¿Cuánto dura el blanquiamiento?
La duración del blanqueamiento depende de varios factores, como la alimentación, los hábitos de fumar y la higiene bucal.
¿Qué cuidados con la alimentación debo tener después del blanquiamiento dental?
Durante el blanqueamiento dental y hasta 72 horas después de terminarlo debe tener cuidado con la alimentación, por lo tanto, debe evitar el té, el café, el vino tinto, la salsa de tomate, en fin, todo lo que pueda manchar una camiseta blanca.