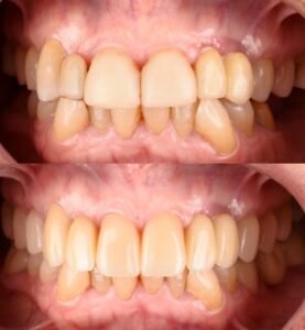
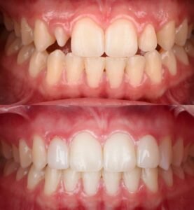
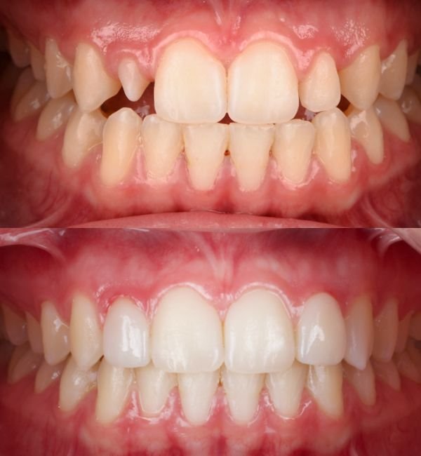
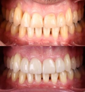
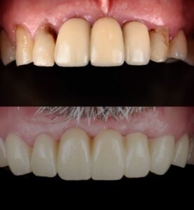
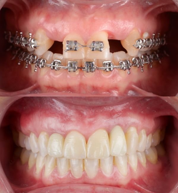
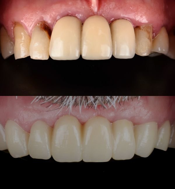
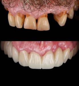
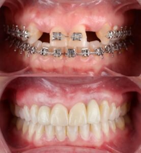
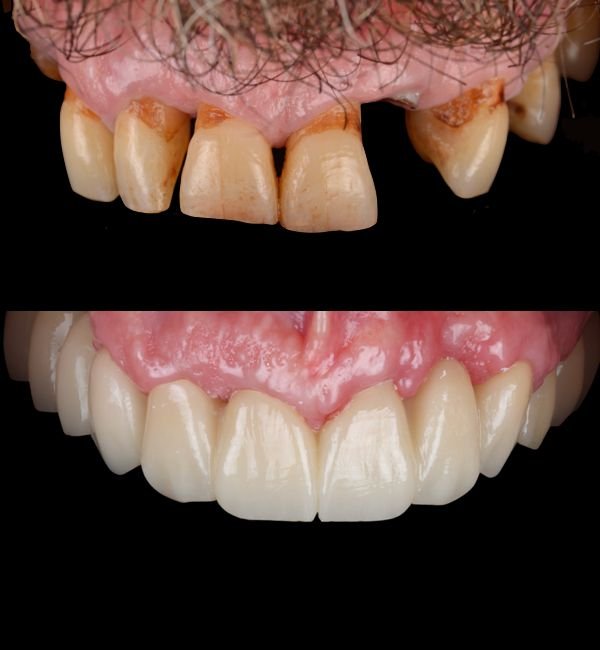
Los cambios de imagen de sonrisa estética con el Dr. Criestian Mesa, favorecen mejoras cuidadosas y matizadas, para obtener resultados naturales que garantizan el equilibrio general y la armonía facial.
Profilaxis
Blanqueamiento
Odontológia Cosmética Reconstrutiva
Periodoncia y Cirugía Periodontal
Implantología y Cirugía Oral
Odontología Biológica